logo

会员登录

用户登录 评委登录
一周内自动登录 建议在公共电脑上取消此选项
一周内自动登录 建议在公共电脑上取消此选项
依据工信部新规要求,运营商部署做出调整,现部分用户无法获取短信验证码(移动运营商为主)。如遇收不到短信验证码情况,请更换其他手机号(联通、电信)尝试,有疑问请电话咨询:18912606905、18136127515。
一周内自动登录 建议在公共电脑上取消此选项
手机登录 微信登录 还未账号?立即注册 忘记密码

会员注册

*依据工信部新规要求,运营商部署做出调整,现部分用户无法获取短信验证码(移动运营商为主)。如遇收不到短信验证码情况,请更换其他手机号(联通、电信)尝试,有疑问请电话咨询:18912606905、18136127515。
已有账号?
成长项目
成长项目
DEMETICS 超声诊断机器人
时间: 2019/11/18
产品分类: 医用成像器械
进展: 原理样机
注册分类: 三类
融资金额: 20000万
项目简介

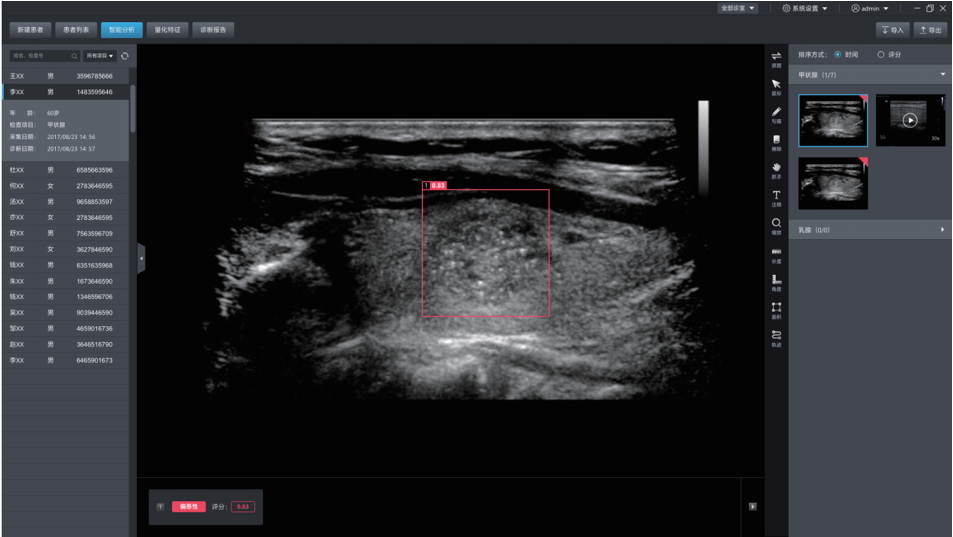
德尚韵兴医疗科技采用自主研发的深度学习框架DE-Light, 在专家标注的大量样本基础上,研发的超声辅助诊断系统,可自动探测超声图像中的病灶,并自动判断良恶性。甲状腺结节良恶性的准确率达到85%,达到三甲医院主治医生的水平。

如需对接,请扫码联系下方工作人员

Baidu
map